If you've been in a car accident and are now dealing with back pain, an uneven posture, or a new spinal curve, you might be wondering whether the crash could have caused scoliosis. It's a fair question, especially when symptoms appear suddenly after trauma that wasn't present before.
The short answer is yes, car accidents can cause a specific type of scoliosis, though it's relatively uncommon. Understanding the connection between spinal trauma and scoliosis matters not just for your health, but also if you're considering legal action to recover compensation for your injuries.
Did You Develop Scoliosis After a Car Accident?
CONTACT USOur Recent Case Results
Settlement
Jury Verdict
Settlement
Settlement
What Is Scoliosis and How Does It Usually Develop?
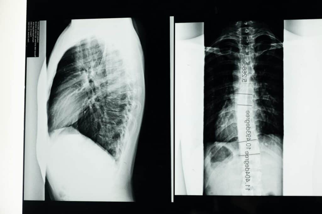
Scoliosis is a sideways curvature of the spine that measures more than 10 degrees when viewed on an X-ray. Instead of running straight down your back, the spine curves to the left or right, sometimes forming an S or C shape. In more severe cases, the spine can also rotate, causing ribs or shoulder blades to stick out more on one side.
Most people associate scoliosis with teenagers going through growth spurts, and that's because over 80% of all scoliosis cases are what doctors call idiopathic. Idiopathic simply means the cause is unknown. These cases typically develop gradually during childhood or adolescence without any clear trigger.
The other main types of scoliosis include congenital scoliosis, which is present at birth due to abnormal spinal development in the womb, and neuromuscular scoliosis, which develops alongside conditions like cerebral palsy or muscular dystrophy that affect muscle control. There's also degenerative scoliosis, which affects adults over 50 as the discs between vertebrae wear down and joints develop arthritis.
None of these common types result from a single traumatic event. That's what makes traumatic scoliosis different.
Can a Car Accident Actually Cause Scoliosis?
Yes, but it falls into a distinct category called traumatic scoliosis. This type accounts for less than 20% of all scoliosis cases, making it relatively rare compared to other forms.
Traumatic scoliosis develops when a sudden, forceful injury disrupts the normal alignment of your spine. The kind of high-impact forces involved in car accidents can fracture vertebrae, dislocate spinal segments, or severely damage the ligaments and soft tissues that hold your spine in place. When these supporting structures fail, the spine can shift out of alignment and develop an abnormal curve.
Think about what happens during a collision. Your body might be thrown forward against a seatbelt, twisted sideways during a side-impact crash, or compressed downward if your vehicle rolls. These forces can compress vertebrae, create fractures, or cause one part of the spine to move out of alignment relative to another. If the damage is severe enough, the spine may heal in a curved position rather than its original straight alignment.
Unlike idiopathic scoliosis that develops slowly over months or years, traumatic scoliosis appears suddenly following the injury. You might not notice it immediately if you're dealing with acute pain and other injuries, but as the initial trauma subsides, the spinal curvature becomes more apparent.
What Are the Signs of Scoliosis After a Car Accident?
The symptoms of traumatic scoliosis can range from subtle to severe, and they often overlap with other back injuries, which is why proper diagnosis matters so much.
One of the most visible signs is uneven shoulders or hips. You might notice that one shoulder sits higher than the other, or that your clothes don't hang evenly anymore. When you bend forward, one side of your rib cage might protrude more than the other. Family members sometimes notice these changes before you do, especially if they see you from behind.
Back pain is common, though not everyone with scoliosis experiences it. The pain often comes from muscles working overtime to compensate for the spinal imbalance. Some muscles get overstretched while others remain constantly contracted, leading to fatigue and discomfort that worsens throughout the day.
Nerve-related symptoms can develop if the spinal curvature compresses nerves exiting the spine. You might feel numbness, tingling, or weakness radiating down one or both legs. Some people describe a pins-and-needles sensation or notice their legs feel heavy or uncoordinated. These neurological symptoms warrant immediate medical attention because they indicate pressure on the spinal cord or nerve roots.
Balance problems and changes in how you walk can also signal scoliosis. The altered spinal alignment affects your center of gravity, making you feel unsteady or causing you to walk more cautiously. You might find yourself leaning to one side without realizing it.
In severe cases where the curvature is pronounced, the distortion of the rib cage can affect lung capacity, making it harder to take deep breaths. Digestive issues can also arise if the curve affects the position of internal organs, though this is far less common.
How Do Doctors Diagnose Traumatic Scoliosis?
If you're experiencing any of these symptoms after a car accident, proper diagnosis is essential. Your doctor will start with a physical examination, looking at your posture from multiple angles and asking you to bend forward to check for rib prominence or asymmetry.
The definitive diagnostic tool is a standing X-ray of your entire spine. This allows doctors to measure the Cobb angle, which quantifies the degree of curvature. Any curve measuring more than 10 degrees confirms a scoliosis diagnosis. The X-ray also reveals whether you have vertebral fractures, dislocations, or other structural damage from the accident.
For a more detailed view, especially if you have leg symptoms or neurological concerns, your doctor might order an MRI or CT scan. These imaging studies show soft tissues like discs, ligaments, and the spinal cord itself, helping identify nerve compression or other complications that don't show up on X-rays.
What matters most for legal purposes is having imaging from before and after the accident. If you had X-rays or other spinal imaging before the crash showing a straight spine, and post-accident images show a new curve, that creates a clear timeline connecting the accident to your scoliosis. Without pre-accident imaging, doctors look for other evidence like acute fractures or injuries that correlate with the accident timeline.
How Is Scoliosis From a Car Accident Treated?
Treatment depends on the severity of your curve, your symptoms, and whether the scoliosis is progressing. The goal is always to stop the curve from worsening, manage pain, and preserve or restore function.
For mild curves, especially if they're not causing significant symptoms, doctors often recommend observation and monitoring. You'll have periodic X-rays to check whether the curve is stable or progressing. During this time, physical therapy and exercises can strengthen the muscles supporting your spine and improve your posture, which helps prevent further problems.
Bracing is sometimes used, though it's more effective for younger patients whose spines are still growing. Adults with traumatic scoliosis are less likely to benefit from bracing unless it's used for pain management and support rather than curve correction.
Pain management becomes important when the altered spinal mechanics cause ongoing discomfort. This might include physical therapy, anti-inflammatory medications, muscle relaxants, or targeted injections to reduce inflammation around compressed nerves.
Surgery becomes necessary when the curve is severe, rapidly progressing, or causing neurological symptoms like leg weakness or numbness. The most common surgical procedure is spinal fusion, where surgeons straighten the spine as much as safely possible and then fuse the affected vertebrae together with bone grafts and hardware like rods and screws. This stabilizes the spine and prevents further curvature. Minimally invasive techniques have made these procedures less invasive than they once were, though recovery still takes several months.
The type and extent of treatment you need directly affects the value of any personal injury claim. More invasive treatments, longer recovery periods, and permanent limitations all factor into calculating fair compensation.
Can You Sue for Scoliosis Caused by a Car Accident?
If another driver's negligence caused the accident that led to your scoliosis, you have the right to pursue compensation through a personal injury claim. However, proving that the accident caused your scoliosis requires solid medical evidence.
New York operates under a no-fault insurance system for car accidents, which means your own insurance covers your medical bills and lost wages up to your policy limits, regardless of who caused the crash. But no-fault coverage has limits, and it doesn't compensate you for pain and suffering.
To step outside the no-fault system and sue the at-fault driver directly, you need to meet New York's "serious injury" threshold defined in Insurance Law Section 5102. Scoliosis caused by a car accident can qualify as a serious injury in several ways. If the spinal curvature causes significant disfigurement, that's one path. If it results in a permanent limitation of use of a body organ or system, that's another. If you suffer a medically determined injury that prevents you from performing substantially all of your usual daily activities for at least 90 days during the 180 days following the accident, that also qualifies.
The challenge with traumatic scoliosis claims is establishing causation. Because most scoliosis is idiopathic and develops without a clear cause, insurance companies often argue that your curve existed before the accident or would have developed anyway. This is where medical evidence becomes critical.
You need documentation showing that your spine was normal before the accident and that the curvature appeared afterward. This might include pre-accident X-rays from a previous medical visit, imaging taken immediately after the crash showing acute fractures or trauma, and follow-up imaging demonstrating the development of the curve. Your treating physicians need to provide clear opinions linking the accident to your scoliosis, explaining how the specific injuries you sustained could have caused the spinal curvature.
The rarity of traumatic scoliosis actually works in your favor once causation is established, because it demonstrates that your condition isn't just the common idiopathic type. If you have documented spinal fractures, dislocations, or severe ligament damage from the accident, and a curve that wasn't there before, that creates a compelling case.
What Damages Can You Recover?
If you can prove that the car accident caused your scoliosis and you meet the serious injury threshold, you can seek compensation for multiple types of damages.
Medical expenses include everything from emergency room treatment immediately after the accident to ongoing care like physical therapy, pain management, and potentially surgery. If your scoliosis requires long-term treatment or monitoring, you can also claim future medical costs. Expert testimony from orthopedic specialists helps establish what treatment you'll likely need going forward.
Lost wages cover the income you've already missed due to medical appointments, recovery from surgery, or being unable to work because of pain and limitations. If your scoliosis causes permanent restrictions that prevent you from returning to your previous job or limit your earning capacity, you can also claim future lost earnings.
Pain and suffering compensation addresses the physical discomfort and emotional toll of living with traumatic scoliosis. Chronic back pain, the stress of ongoing medical treatment, limitations on activities you once enjoyed, and the psychological impact of a visible spinal deformity all factor into this category.
If your scoliosis causes permanent disfigurement or disability, that increases the value of your claim significantly. Courts recognize that a visible spinal curve or permanent functional limitations affect your quality of life in ways that extend beyond just medical bills.
Why Medical Documentation Matters So Much
The strength of your legal claim depends almost entirely on your medical records. From a legal standpoint, what matters isn't just that you have scoliosis, it's proving that the car accident caused it.
Seek medical attention immediately after any car accident, even if you don't think you're seriously injured. Some spinal injuries don't cause obvious symptoms right away, but early documentation establishes a clear timeline. If you wait weeks or months to see a doctor, insurance companies will argue that something else caused your condition.
Follow all your doctor's recommendations and attend every appointment. Gaps in treatment give insurance adjusters ammunition to claim your injuries aren't as serious as you say. If you're prescribed physical therapy, go to every session. If your doctor wants follow-up imaging, get it done.
Be honest with your doctors about all your symptoms. Don't downplay pain or limitations because you think you should just push through. Your medical records need to accurately reflect how the injury affects you, because those records become evidence in your case.
Keep your own records too. Document how your scoliosis affects your daily life. Note activities you can no longer do, pain levels throughout the day, and how the condition impacts your work and relationships. This personal documentation helps your attorney paint a complete picture of your damages.
How Long Do You Have to File a Claim?
New York's statute of limitations for personal injury claims is generally three years from the date of the accident. That might sound like plenty of time, but scoliosis cases can be complex, and building a strong case takes time.
You need to allow time for your condition to stabilize so doctors can accurately assess the extent of your injury and your prognosis. You also need time to gather all necessary medical records, obtain expert opinions, and document how the scoliosis affects your life.
That said, don't wait too long to consult with an attorney. Evidence can disappear, witnesses' memories fade, and the longer you wait, the harder it becomes to prove your case. An experienced personal injury lawyer can guide you on the right timing for your specific situation.
Get a Free Case Review
Talk to our experienced car accident lawyers and know all your legal options for recovery in a free, no-obligation consultation.
Summing It Up
Car accidents can cause scoliosis, though traumatic scoliosis remains relatively rare compared to other types. When high-impact forces fracture vertebrae, dislocate spinal segments, or damage the supporting structures of your spine, the result can be an abnormal curve that develops suddenly rather than gradually.
If you've developed scoliosis after a car accident, you're dealing with both medical and legal challenges. Medically, you need proper diagnosis and treatment to prevent the curve from progressing and to manage symptoms. Legally, you need to establish that the accident caused your condition, which requires solid medical evidence including imaging that shows the timeline of when the curve developed.
Meeting New York's serious injury threshold opens the door to compensation beyond basic no-fault coverage, allowing you to seek damages for pain and suffering, permanent limitations, and the full scope of how traumatic scoliosis has affected your life. The key is thorough medical documentation, expert opinions linking the accident to your condition, and an attorney experienced in handling complex spinal injury cases.
If you're dealing with back problems after a car accident, don't assume it's just temporary soreness that will resolve on its own. Get evaluated by a doctor who can properly assess your spine, and if you're diagnosed with scoliosis or any significant spinal injury, consult with a personal injury attorney who can protect your rights and help you pursue the compensation you deserve. Reach out to the Porter Law Group for a free consultation and know your options. Call 833-PORTER9 or email info@porterlawteam.com to get started.








